“这个肿瘤体积巨大,最大径超过了10 cm,并严重侵袭右胸腔内组织结构,如此巨大胸腔内肿瘤较为罕见,手术难度及风险极高,该手术的顺利完成既需要外科医生的技术及胆量,也需要患者及家属的信任及理解。”刚刚成功摘除巨大肿瘤的常浩教授如是说。近日来,哈医大一院胸外科常浩教授带领团队,在麻醉科和手术室团队的全力配合下成功为一位患者切除罕见巨大右胸腔横纹肌肿瘤。

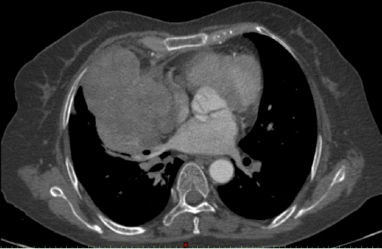
术前胸部增强CT示:右胸腔巨大肿瘤
患者赵女士1个月前感觉胸闷气短,检查发现右侧胸内存在一枚超过10 cm的巨大肿瘤,与右胸壁、肺叶及肺门血管,心包界限不清。因为肿瘤巨大,几乎占据了右侧胸腔一半以上的空间,并广泛侵及右胸腔内组织结构,患者及家属走访了多家医院,均被告知肿瘤无法被切除。赵女士的家人慕名来到哈医大一院找到常浩寻求帮助。

完整取出巨大肿瘤
常浩经过仔细阅读患者影像学资料,发现要完整切除肿瘤的难度极高,肿瘤体积巨大,占据胸腔大部分空间,无法保证良好的手术视野,且肿瘤与纵隔及肺门血管关系密切,一旦术中损伤,很可能导致不可逆转的大出血。由于瘤体大,侵袭范围广,如不能找到确切的解剖层面,更会直接导致切除不彻底或无法切除。肿瘤占据右胸腔绝大部分空间,导致长时间肺不张,术中复张性肺水肿可诱发呼吸衰竭等严重并发症。可是肿瘤过于巨大,放化疗效果均不佳,根治性切除肿瘤是唯一有效的治疗手段,作为医生,一旦退缩,患者的前路将一片黑暗。
常浩就患者病情与胸外科王巨主任多次交流意见,进行学科内会诊,对赵女士的病情进行了全面评估,经过影像科,病理科,肿瘤内科多学科MDT会诊,制定了完备的手术方案及意外情况处理预案。在麻醉科马鸿雁教授及手术室团队的通力协作下,常浩团队依靠娴熟的技术及团队配合,手术得以顺利实施。
术中,常浩通过胸腔镜辅助,极大地改善了视野显露,探查胸腔发现肿瘤侵袭大面积胸壁、肺组织、肺门血管及部分心包,经过精细游离,保护了肺门处受累血管,并于肺门处游离出隧道,将受侵右肺上中叶组织合并楔形切除,避免了行肺叶切除术,在保证根治程度的基础上最大限度地保留了肺组织,同时切除了被肿瘤侵袭的部分心包,并进行了心包修补,经过2个小时的努力,终于完整切除肿瘤,术中患者出血量约200ml,充分彰显了哈医大一院胸外科的技术水平。患者术后恢复顺利,于术后第6天顺利出院。术后病理显示为横纹肌肉瘤。
王巨介绍,巨大胸腔内横纹肌肉瘤极为罕见,该手术的顺利完成代表了哈医大一院胸外科的技术达到国内先进水平。过去20-30年间在美国和欧洲主要癌症中心仅有5项患者数量较多的文献报道了400余例成人横纹肌肉瘤,胸腔内横纹肌肉瘤发病率更低,恶性程度高,早期因为肿瘤体积较小,往往无明显症状,易被忽略,随着肿瘤生长压迫肺组织或侵袭胸壁出现胸闷或胸痛症状时则预示着肿瘤分期相对较晚。横纹肌肉瘤的治疗是多学科的联合治疗。手术是治疗的主要方式,术后需辅以放化疗。
常浩建议广大群众重视体检,防患于未然,特别是高龄、吸烟、有肿瘤病史的人群,更应勤体检,早发现,早治疗。