近日,哈尔滨医科大学附属第一医院泌尿外科二病房王春阳主任团队,成功为一名双侧输尿管结石导致双侧严重肾积水引发急性肾功能不全(尿毒症)的患者,实施机器人辅助腹腔镜下双侧输尿管切开取石术+机器人辅助腹腔镜下右侧肾盂成型肾盂输尿管再吻合术。仅通过一次手术就彻底解决了患者因结石梗阻及肾盂输尿管连接部狭窄导致的急性肾功能不全。
患者郑先生,41岁,入院半月前出现双侧腰痛,入院三天前突然腰痛加重,伴少尿乏力,每天尿量仅约500ml(正常成人24h尿量为1500~2000ml),到当地医院就诊后,并未得到合适的治疗方案。郑先生通过哈医大一院公众号了解到泌尿外科二病房主任王春阳教授擅长达芬奇机器人解决泌尿外科各类复杂疾病,便慕名求治。
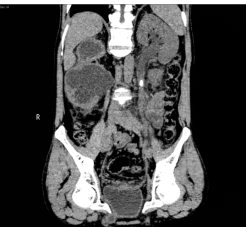
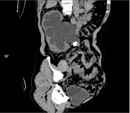
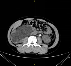
入院后,三维CT发现患者双侧输尿管结石,右肾盂输尿管连接处狭窄,右肾严重积水,左肾也因结石梗阻导致肾盂输尿管积水。肌酐1284.5μmoI/L,已经达到急性肾功能不全(尿毒症期)。王春阳教授立即为患者进行超声引导下右肾穿刺造瘘,改善患者肾功能,并制定拟行机器人辅助腹腔镜下双侧输尿管切开取石术+机器人辅助腹腔镜下右侧肾盂成型肾盂输尿管再吻合术,决定一次手术解决目前导致患者肾脏积水的全部问题。




王春阳教授介绍,仅利用一次手术同时处理患者全部问题,大大增加手术难度,但能减轻患者的痛苦和费用。对于结石大、梗阻明显、结石坎顿的病人,为及时解决梗阻,挽救肾功能,可选择输尿管切开取石。传统的输尿管切开取石手术疗效可靠,但患者手术创伤大,恢复慢,住院时间长。运用机器人辅助腹腔镜下行输尿管切开取石术不切断肌肉,不损伤较大血管神经,手术直视下进行,术野可放大10倍,手术损伤小,出血少,恢复快。同时该病人CT中表现出右侧肾盂输尿管连接部狭窄,切开取石后行右侧肾盂成形术,去除狭窄段,对肾盂输尿管连接部重新塑形,显著解除梗阻。
在手术室和麻醉科协同配合下,手术顺利展开。王春阳教授团队凭借丰富的经验和娴熟的操作成功为患者取出双侧输尿管内结石并完成右侧肾盂成型。术后沿用快速康复外科(enhancedrecoveryaftersurgery,ERAS)理念,患者术后第三天复查肌酐水平降至92.9μmoI/L,第四天拔除双侧引流管,第五天顺利出院。
哈医大一院泌尿外科二病房现已经完成多例机器人单孔前列腺癌根治术、肾癌伴肾静脉癌栓根治术,盆腔淋巴结清扫术,膀胱肌瓣输尿管成型术等在内多项高精尖术式,针对前列腺癌,肾积水,肾癌,膀胱癌,巨大嗜铬细胞瘤等疾病的微创治疗处于国内先进水平。