近日,哈医大一院神经外科一病房利用显微镜和内镜联合,在神经导航实时引导下成功精准切除一例脑干肿瘤,患者目前已经顺利康复出院,没有遗留神经功能障碍。
患者赵某是一名中年女性,是家里的主要劳动力之一。在工作中突发头痛伴有右侧肢体瘫痪,在当地医院检查后诊断为脑干出血。医生告知家属脑干是生命中枢,病情危急,当地医院无法处理,需立即转至有条件的大医院进行治疗。患者遂紧急转运至哈医大一院,医院迅速开辟绿色通道收入神经外科一病房。
接诊医生刘怀垒副教授查体及询问病史后迅速做出判断,“患者既往无高血压病,脑干出血高度怀疑是由脑干肿瘤卒中导致”,立即为患者行头部磁共振检查,确诊为脑干肿瘤卒中。

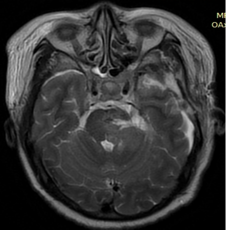
图1.术前核磁显示脑干病变位置(箭头所示)及周围密集的神经纤维及血管
脑干是生命中枢,控制人体的呼吸和心跳等重要活动,其内密集存在和人体运动、感觉相关的神经纤维,而且位置深在,曾经被认为是手术禁区,但是不立即手术治疗,患者就会丧失基本的肢体功能,甚至失去生命。
神经外科一病房主任高成教授立即向患者家属详细交代病情并建议手术治疗,以挽救病人的生命和肢体功能。
然而患者有重度贫血,普通人血色素一般12g以上,临床上7g以下就可以诊断重度贫血,该患者血色素只有5.8g,暂时不具备手术条件。高成教授团队联系血库,给与患者输血等处理。经过几次输血后患者血色素达标,具备了手术条件。

图2多模态融合技术显示手术入路及肿瘤与周围血管神经的关系,为安全切除肿瘤提供引导
高成教授团队制定了详细的手术方案,并利用最先进的神经导航设备对病变进行了定位,同时对周边控制运动和感觉的神经纤维束、核团进行了细致评估。考虑到病变位置深在,显微镜有视野盲区,内镜可以弥补其不足,高成教授团队决定采取双镜联合技术。

图三复查影像显示肿瘤全切
在麻醉科邵贵骞主任,门诊手术室护士长马丽娜,护士张红岩、陈烨等共同配合下,高成教授团队顺利为病人施行了脑干肿瘤切除手术。
术中,在神经导航的实时引导下精准切除了脑干区肿瘤,同时清除了脑干血肿,解除肿瘤和血肿对脑干双重压迫,手术非常成功。术后病人即意识清醒,第二天肢体肌力由1级恢复到4级(正常肌力是5级)。经过7天的精心治疗,患者已能下地走路,并顺利康复出院。

图四内镜与显微镜联合切除脑干肿瘤术中情况
高成教授介绍,脑干曾经一度被认为是手术无法达到的生命禁区,随着外科技术、手术器械、麻醉和监护、导航设备、以及多模态影像技术的发展,脑干病变的手术安全性不断提高,预后也越来越好,为更多脑干病变患者提供了希望。但是对脑干病变患者的治疗决定仍要慎重,需考虑众多因素方可决定,并非所有脑干病变均适合或者都需要手术。