家住哈市道外区的周先生已年过八旬,耄耋高龄的他肝右叶有一大血管瘤(直径约9cm),因有破裂大出血风险,医生建议手术切除。周先生担心自己年龄较大,又有脑梗,且抱有一定侥幸心理,未选择手术治疗。
近日不幸的事情还是发生了,周先生在家中洗澡时不慎跌倒后,感到右侧上腹剧烈疼痛、头晕,之后出现了意识模糊,家人紧急用120将周先生送到哈医大一院。
“肝血管瘤破裂、失血性休克,可能危及生命。”
急诊医生紧急将周先生送入重症医学科(ICU),经过重症医学科康凯教授、陈宁宁医生等团队医护人员的奋力抢救,输血科紧急为患者输血,周先生暂时保住了性命,但肝脏仍然在出血。为找到出血点,止住出血,重症医学科康凯教授立即联系肝脏外科林汉教授进行会诊。

腹腔内出现大量血性积液
“输血的速度赶不上出血的速度,血压和血红蛋白持续下降,心率仍在攀升,失血性休克无法纠正且进一步加重!”肝脏外科林汉教授回忆抢救周先生的危急时刻时感叹。
“肝血管瘤破裂出血非常凶险,患者必须紧急手术否则挺不过今晚。”在迅速评估周先生病情后,肝脏外科林汉教授迅速准备,在ICU、麻醉科、手术室的全力配合下当即为周先生进行了急诊剖腹探查手术。周先生腹腔内已经出血2000余ml,相当于他体内总血量的一半。林汉教授仅用不到两个小时就控制住出血,并将破裂的肝血管瘤切除。

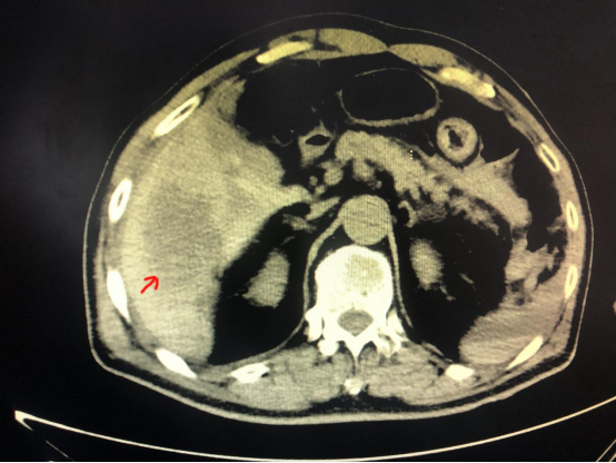
CT所示血管瘤位置
术后周先生返回ICU继续治疗,生命体征稳定,血红蛋白逐渐上升。第二日早晨已经苏醒,当天从ICU转入普通病房,并于5天后康复出院。
周先生前期的抢救工作很及时、很成功,为手术赢得了时间。林汉教授介绍,肝血管瘤是肝脏的最常见良性肿瘤,当肝血管瘤较大、位于肝脏边缘和临床症状的时候,需要手术切除。
哈医大一院肝脏外科是全国最早开展精准肝切除的六家医院之一,现已全面开展包括肝脏移植在内的肝脏外科疾病全谱系手术治疗,并全面实现微创化。