近日,哈医大二院心血管病医院院长、心内科主任于波教授带领团队陈涛主任医师、张东会副主任医师和杨光副主任医师、谭金峰主治医师、修丽丽主治医师,为一位重度二尖瓣反流患者成功完成东北三省首例经导管二尖瓣置换术(TMVR),患者术后二尖瓣无反流,恢复情况良好,现已顺利出院。此次手术的成功实施是哈医大二院心内科在瓣膜病介入治疗领域的一个新里程碑。
家住黑龙江省黑河市,今年71岁的王大爷(化姓)两年前出现了活动后呼吸困难的症状,休息后有所缓解,在此其间反复就诊于当地医院,但内科保守治疗均无效,症状没有缓解。一个月前王大爷呼吸困难加重,心悸、乏力,无法平卧,情况危急,家人立即将其送至哈医大二院。经检查确诊为心功能不全,二尖瓣重度反流,左心室舒张末内径显着扩大至68 mm,LVEF(心脏射血分数)降低为38%,心衰标志物NT-proBNP高达23072 pg/ml。经过规范的一个月的抗心衰药物治疗后,患者的症状仍未缓解,而且本次入院后超声提示LVEF为32%,二尖瓣仍为重度反流。但该患者已年逾七旬、体质弱、心功能差,属传统外科开胸手术高危人群。

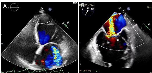
术前经胸和食道超声结果。左图:经胸超声提示心房心室扩大,二尖瓣重度反流;右图:食道超声提示二尖瓣重度反流(彩色血流)。
于波教授了解到患者情况后,立即带领团队反复研究,最终决定实施经导管二尖瓣置换术(TMVR)。于波教授介绍,本次应用的TMVR系统具有以下特点,一是采用股静脉入路,通过性好,创伤小,术后恢复快;二是独特的锚定机制,可使得人工瓣膜在释放后根据患者自身二尖瓣情况自调节至理想位置;三是设计上采用加强鞘管设计,确保二尖瓣输送器可对人工瓣膜进行回收并重新定位、释放。
手术如期进行。手术技术关键操作时间平均为60-90分钟,瓣膜反流立刻从术前的重度变为无反流,即刻效果和外科开胸换瓣相当,术中和术后无严重出血、无传导阻滞、无流出道梗阻,血压心率均平稳。

术后即刻造影和超声结果。左图:造影结果提示瓣膜工作良好,二尖瓣无反流;中图和右图:三维超声提示瓣膜工作良好,二尖瓣无反流。

于波教授带领团队术后看望患者,患者恢复良好。
于波教授表示,二尖瓣反流是老年人最为常见的心脏瓣膜病变,人群中罹患率高达2%,且发病率随着年龄逐步增长,在70岁以上人群中发病率已超过5%。以往中重度以上二尖瓣反流只能通过传统开胸体外循环手术才能治疗,但对于存在多种合并症的高龄高危患者,传统手术的创伤和风险均很大,大量患者因此放弃手术,最终心衰不治。由于TMVR无需开胸、无需心脏停跳、无需体外循环,大大降低了手术创伤,成为继经导管主动脉瓣置换术(TAVR)之后的又一个研究热点。
他强调,目前心脏瓣膜病的微创介入治疗,因不需要外科开胸必需的体外循环和停跳心脏的技术,被称之为心脏瓣膜病的革命性技术。目前哈医大二院心内科已经成功开展了东北三省首例经皮二尖瓣修复术、东北三省首例二尖瓣生物瓣损毁经导管瓣中瓣介入术、东北三省首例一站式经导管主动脉瓣膜置换术+二尖瓣球囊成形术,成为救治急危重症联合心脏瓣膜病患者的有效手段,为众多瓣膜病患者延长了寿命,带来了生的希望。