近日,哈医大一院肝脏外科姜洪池教授团队应用微创腹腔镜手术技术,完成高难度的腹腔镜下完整切除病灶,并最大限度地保留了患者的肝脏体积,保证了患者的生活质量,真正达到精准外科,为患者排忧解难。
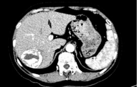
潘阿姨(化名)怀揣着忐忑的心来到了哈医大一院,在此之前,阿姨因体检发现肝占位,辗转多家医院,但都无法得到明确的诊断。患者既往10年前曾有过牛羊养殖史,病灶巨大且位置刁钻,通过增强CT发现患者病灶大小约6.0×4.7cm,位于Ⅵ、Ⅶ段,毗邻着门静脉右支,手术难度大,风险高。为此,阿姨深受困扰,直到她慕名来到哈医大一院门诊找到姜洪池教授团队。

入院后,通过AFP、PIVKA-II及彩超的影像学检查,排除了恶性病变的可能,最终诊断为肝包虫病。考虑到肿物为肝脏良性病变,且保留肝脏功能对患者至关重要,姜洪池教授团队决定采用腹腔镜方式,暨通常所讲的“微创方式”进行治疗。经过术前一系列准备,在姜洪池教授、金也医生、刘嘉铭医生,以及手术室贺轶宁护士、国鹏护士熟练配合下,紧贴病灶边缘,最大限度地保留了病灶附近的血管、肝蒂、正常肝组织,完整地切除了包虫病灶,成功保证了患者术后的肝功能状态。手术历时3个小时余,出血仅30ml,术后患者安返病房,目前患者已康复归家。
金也医生介绍:肝包虫病又称肝脏棘球蚴病,是由犬绦虫的囊状幼虫寄生在人体所导致的一种寄生虫病,主要是误食虫卵或误食被虫卵污染的食物引起的。成年虫体一般寄生在动物体内,发育成熟后虫体脱落,随大便排出体外,可能会污染环境和水源等。人体食用了被虫卵污染的蔬菜、水果等食物或饮用了被污染的水源,进而导致感染。虫卵在胃、十二指肠内孵化,放出六钩蚴,此幼虫循门静脉侵入肝脏,从而在肝脏内形成包虫囊肿,可能会导致患者出现肝功能异常、黄疸、发热、乏力、肝区疼痛等症状。肝包虫病多见于牧区,以及经常接触牲畜或从事皮毛加工的工作人员。建议养成与家畜接触后和饭前洗手的习惯,避免吃未经煮熟的食物和生水,避免密切接触犬类和家禽,一旦确诊,建议积极手术治疗。

哈医大一院肝脏外科是省内最早开展精准肝脏切除手术的中心、全国首批肝脏移植中心,也是黑龙江省获准国家许可的肝移植中心。科室在主任陆朝阳教授的带领下常规开展经典的左、右半肝切除、肝尾状叶切除以及射频消融治疗小肝癌等技术。此外,科室积极应用临床新技术,率先开展精准肝切除、选择性肝门阻断技术、绕肝提拉技术,通过解剖肝门单纯阻断患侧肝脏血流而保证健康部分肝脏血供,从手术开始就为病人术后恢复奠定了良好的基础,临床应用效果突出。